Your tongue is essential for speaking, tasting, and swallowing food. Beyond that, it is an…

Brushing your teeth twice a day is essential for maintaining good oral health and preventing common dental issues by removing plague that can lead to tooth decay and cavities if left unchecked. The process of brushing reduces the buildup of plaque caused by leftover food particles and saliva accumulated throughout the day and at night.
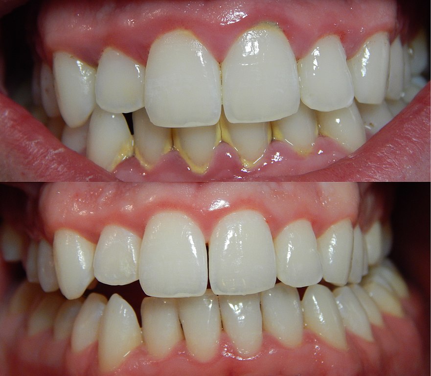
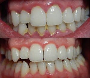
Brushing also plays a crucial role in preventing gum disease because eventually the buildup along the gum line can lead to gingivitis, an early stage of gum disease. If gum disease goes untreated, it can progress to more severe conditions, including tooth loss, bleeding gums, swollen gums and a change in bite. By brushing your teeth twice a day, you keep your gums healthy and reduce the risk of infections.

Bad breath is another issue that can be avoided with regular brushing. Food particles and bacteria in the mouth contribute to unpleasant odours, but brushing twice a day, including brushing the tongue removes these particles and helps maintain fresh breath.
Moreover, brushing your teeth contributes to overall health. Poor oral hygiene has been linked to serious conditions like heart disease and diabetes and by reducing harmful bacteria – simply by brushing- you decrease the chances of a multitude of health problems.
Brushing twice a day also helps maintain the appearance of your smile by preventing staining and yellowing. It’s a cost-effective way to avoid expensive cosmetic dental treatments in the future
To make brushing effective, use a soft-bristled toothbrush, fluoride toothpaste and brush for two minutes. Don’t forget to floss for a complete clean. Establishing this habit early can ensure a lifetime of healthy teeth and gums.
Visit us at
52 Morone Street, Burgersfort
Operating Hours:
Mon-Fri 08:00 – 18:00
Sat 08:00 – 13:00
To regularly maintain optimal oral health.